
今天生物课讲动植物的生殖和胚胎发育,老师说我们会做一个实验,让大家体验一下体外人工授精的过程。听起来就让人超级激动,当真正见证米青子和卵子相遇的场景时,好惊叹这样微观的事情就在眼皮子底下发生。第一时间把兴奋记录下来,千万别错过里面的视频哦。
我们的实验对象是几只活的海胆,有公有母。中间圆圆的孔是海胆的嘴巴,底下是海胆的屁股。为了促进它排卵/排精,我们需要从嘴的周围注射2.5ml 左右的氯化钾(KCl)溶液,氯化钾能刺激性腺壁收缩,从而促进排卵/排精。
几分钟之后,就能在盘子上看到催出来的米青液和卵子了~

下图是淡黄色的米青液,原谅我赶时间没拍好。。。

下图是蛋黄色的卵子液。

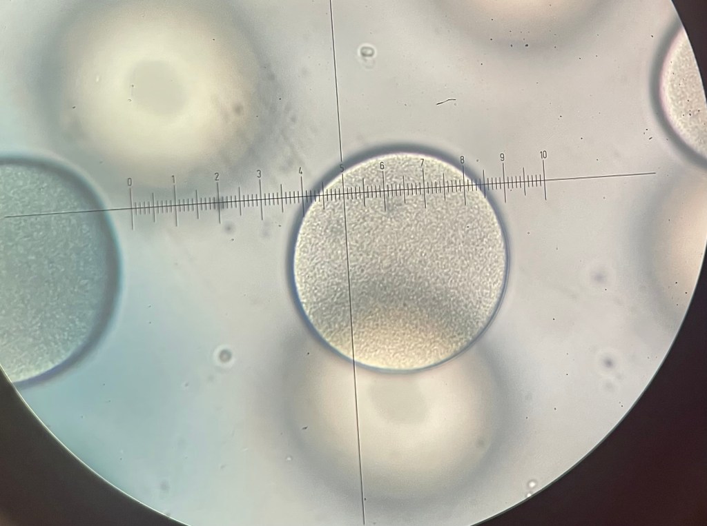
稀释后的卵子液在4倍显微镜下,密密麻麻。

40倍的显微镜下,每个卵子都长这样。

把稀释后的米青液加入到卵子中,仔细看有什么不一样?

有没有发现每一个卵子外面都开始有了一圈灰蒙蒙的光环?
还是视频看起来更过瘾。成千上万的米青子围着每一个卵子,争先恐后地想挤进去。只可惜,大部分情况下,都只能有一个幸运的米青子能成功进入卵子的怀抱。
再放大十倍来个特写。 右上角的那个卵子看起非常受欢迎,大群的米青子挤破了头。
如果再仔细观察左下角那个偏黑色的卵子,最开始也是有很多的米青子围绕,而一旦受精成功,当那个卓越的米青子进入卵子之后,卵子会立即释放一些皮质颗粒,并释放一些附着在卵子表面膜的酶,膜随后迅速硬化,据说同时PH也会变化,防止更多的米青子进入。其他的米青子只好都不欢而散啦~
刚刚完成受精的胚胎长得和之前差不多,虽然右边还有几个不太识趣的米青子,还在外面死缠烂打。
理论上在20多度的温度下,一两个小时内,就能看见受精卵分裂。我们还有考试就没来得及继续观察了。
这篇文章里介绍了海胆胚胎的后续发展阶段和时间。


还找到了一个油管视频,概括了我们的整个实验过程和内容。视频最后的几张胚胎发育成2,4,8细胞体的照片,也是非常值得一看。
想更加了解人体的奥秘吗? 看这篇:

Leave a comment